在便携超声技术持续突破的赛道上,开立医疗始终以技术创新为锚点,深度贴合临床用户需求。开立医疗重磅推出的新一代高端智能便携超声“双子星”——天枢X11与天璇E11,凭借全新智能平台与多项核心技术升级,为便携超声领域带来颠覆性革新,让精准医疗在方寸之间实现全场景覆盖。
新一代智能平台:为便携超声装上“超级大脑”
作为“双子星”的核心技术底座,C-Field+®天工智能平台从智能信号处理、智能图像处理、智能交互处理三大维度构建智能生态架构,实现了图像性能、操作效率与用户体验的全面跃升,相较上一代便携产品实现全面升级迭代。
硬件配置更是迎来“极速升级”:算力提升到10倍、数据处理速度提升到8倍、续航能力提升到5倍。当强大的“超声大脑”被浓缩进笔记本大小的机身,便携超声也能释放出媲美高端台式设备的性能,为临床扫查提供源源不断的算力支撑。
五大核心功能:助力高效诊疗
01
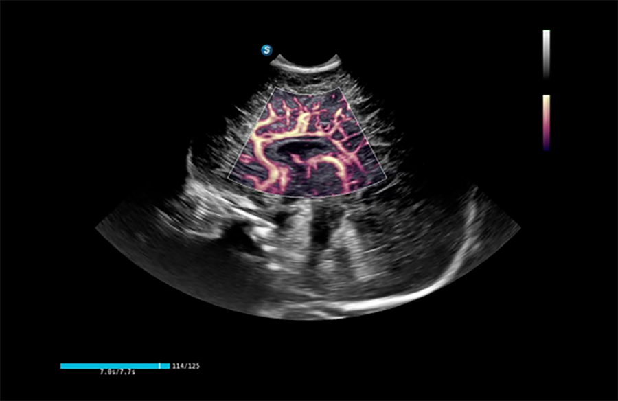
高帧率血流技术
清晰呈现复杂血管结构,可评估肿瘤良恶性、病变血流情况,为临床决策提供科学精准的血流影像依据。
02
组织声衰减成像
通过量化组织声衰减特性,获取更多病灶数据,让诊断过程更具科学性与可靠性。
03
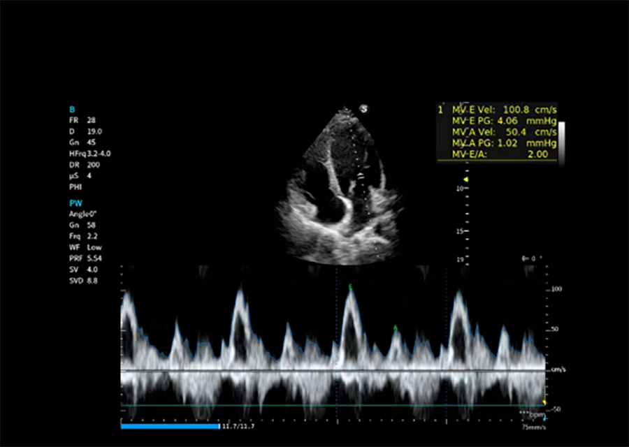
心脏自动测量
简化心血管检查操作步骤,缩短检查时间,协助医生快速完成心脏参数测算与诊断。
04
超声教学软件
通过智能引导、实时反馈与操作提示,全程指导医护人员掌握扫查技巧,成为年轻医生的“超声领航员”。
05
急重症超声流程
集成多项急重症超声检查协议,提供一键快速注释与完整工作流程概览,助力急诊、重症场景下的快速临床决策。






技术革新:让精准医疗触达每个场景
此次推出的“双子星”,是开立医疗在便携超声领域的一次里程碑式技术革新。它打破了“便携即牺牲性能”的行业固有认知,将高端台式超声的成像质量与智能功能,浓缩进轻巧的笔记本式机身中。无论是病房、急诊室的常规诊疗,还是基层医疗机构、移动诊疗车的外出筛查,天枢X11与天璇E11都能轻松胜任,真正实现“让精准医疗触达每个场景”的目标。

从技术研发到临床落地,开立医疗始终以“为生命创造更多可能”为使命。此次“双子星”的发布,不仅展现了开立医疗在便携超声领域的技术积淀与创新实力,更将推动智能便携超声在临床的普及应用,为医疗诊断效率与精准度的提升注入全新动力。
地址:江西省南昌市高新技术开发区天祥大道2799号佳海产业园二期120栋 电话:0791-8649-6193 邮箱:shiqigongsi@163.com